تعويضات سنية ثابتة
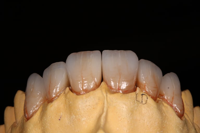
توفر التيجان والجسور جمالية مثالية وإحساسًا طبيعيًا بالأسنان.
يُستخدم هذا النوع من التعويضات السنية الثابتة عندما يكون السن متضررًا بشكل كبير أو مفقودًا بالكامل، مما يستدعي إعادة ترميمه.
تضمن الدقة في التصنيع تعويض المادة السنية المفقودة بشكل متين وطويل الأمد وبمظهر يكاد يكون غير مرئي.
















