Intermsprothese

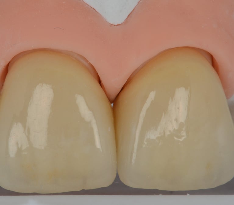
Monolithisches Zirkoniumdioxid aus einem einzigen Block – maximale Stärke, Präzision und Langlebigkeit, ganz ohne Porzellan. Die erste Wahl für höchste Haltbarkeit

Stark, langlebig und natürlich ästhetisch

Monolithisches Zirkoniumdioxid aus einem einzigen Block – maximale Stärke, Präzision und Langlebigkeit, ganz ohne Porzellan. Die erste Wahl für höchste Haltbarkeit

5 Tage


Schnelle Produktion für effiziente Abläufe und Patientenplanung

5 Jahre
>1,000 MPa

Gewährleistet Langlebigkeit und Bruchfestigkeit bei Beißkraft

Biegefestigkei

Durchlaufzeit


Zuverlässige Deckung, die vor Herstellungsfehlern schützt

Garantie

Our projects

Provide a short summary of your recent projects, highlighting the most important things.

Project title

This project aims to develop a user-friendly mobile application that enhances productivity and organization. Through intuitive design and seamless functionality, users can efficiently manage tasks, set reminders, and collaborate with team members.

Project title

This project aims to develop a user-friendly mobile application that enhances productivity and organization. Through intuitive design and seamless functionality, users can efficiently manage tasks, set reminders, and collaborate with team members.