Veneer
Ästhetik, die nicht auffällt – sondern wirkt.
High-End-Laminat-Veneers für ein Lächeln von außergewöhnlicher Natürlichkeit.
Ultradünn. Präzise. Perfekt integriert.
Digitale Planung, mikropräzise Keramik und substanzschonende Techniken vereinen sich zu einer Ästhetik auf höchstem Niveau – individuell, zeitlos und kompromisslos.
✓ Perfekte Integration, dauerhafte Haftung, kompromisslose Ästhetik
✓ Feinste, hochtransluzente Keramik für lebendige Natürlichkeit
✓ Substanzschonende Präparation bis hin zur No-Prep-Technik
✓ Hochtransluzente Premium-Keramiken in minimaler Materialstärke
Exzellenz bis ins Detail
Ästhetik auf höchstem Niveau
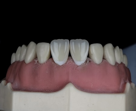
Schönheit, die man fühlt – nicht sieht. Laminat-Veneers vereinen maximale Ästhetik mit minimalem Substanzabtrag. Dank ihrer hohen Transluzenz und ihres natürlichen Lichtverhaltens fügen sie sich harmonisch in das bestehende Gebiss ein. Die digitale Planung und präzise Fertigung gewährleisten eine exakte Passform sowie langfristige Stabilität.
5 Tage
Schnelle Produktion für effiziente Abläufe und Patientenplanung
5 Jahre
>500 MPa
Gewährleistet Langlebigkeit und Bruchfestigkeit bei Beißkraft
Biegefestigkei
Durchlaufzeit
Zuverlässige Deckung, die vor Herstellungsfehlern schützt
Garantie

Schönheit, die man fühlt – nicht sieht.
Indikationen
Frontzahnrestaurationen zur ästhetischen Optimierung bei minimaler Zahnpräparation
Korrektur von Form, Farbe und leichten Stellungabweichungen
Ästhetische Rehabilitation bei ausreichender Schmelzsubstanz
Kontraindikationen
Parafunktionelle Gewohnheiten (z. B. Bruxismus)
Ausgeprägte Zahnfehlstellungen mit hohem Korrekturbedarf
Starke vertikale Überbisse
Unzureichende Schmelzdicke für ein zuverlässiges adhäsives Bonding
Beschränkungen
Aufgrund der begrenzten Materialstärke nicht für den Seitenzahnbereich geeignet
Erfordert eine präzise Präparation zur Sicherstellung optimaler Haftung
Erhöhtes Risiko für Abplatzungen oder Frakturen bei starken okklusalen Kräften
Ausschließlich für ästhetische Indikationen – nicht für strukturelle Restaurationen
Dauerhaftigkeit
Die Biegefestigkeit variiert materialabhängig
Langzeitstabilität bei indikationsgerechtem Einsatz und korrekter adhäsiver Befestigung
Präparation
Minimalinvasive Präparation mit Abschrägung oder Schulterrand
Typischer Substanzabtrag:
Okklusal: 0,3–0,5 mm
Axial: 0,3–0,5 mm
Materialoptionen
Esthetic Zirconia
IPS e.max
Verfügbare Farbtöne:
BL1, BL2, BL3, A1, A2, A3, A3.5, A4,
B1, B2, B3, B4,
C1, C2, C3, C4,
D2, D3, D
Design & Individualisierung
Ultradünnes Vollkontur-Veneer-Design
Zementierte Befestigung
Individuelle Schattierung, Charakterisierung und Oberflächenstruktur
Zusätzliche Services
Individuelle Farbanpassung und Schichttechnik
Digitales Wax-up und Mock-up
Kunststoffmodell auf Anfrage
Intraorale Einprobe optional verfügbar
Richtlinien & Garantie
Goodent bietet eine standardisierte Fertigungszeit von 5 Werktagen sowie eine Garantie auf Herstellungsfehler. Die genauen Garantiebedingungen richten sich nach Materialwahl und klinischer Indikation. Umarbeitungen und Anpassungen werden über den Godent-Kundendienst professionell begleitet.


